
Jojo Ming (Image: Wikipédia)
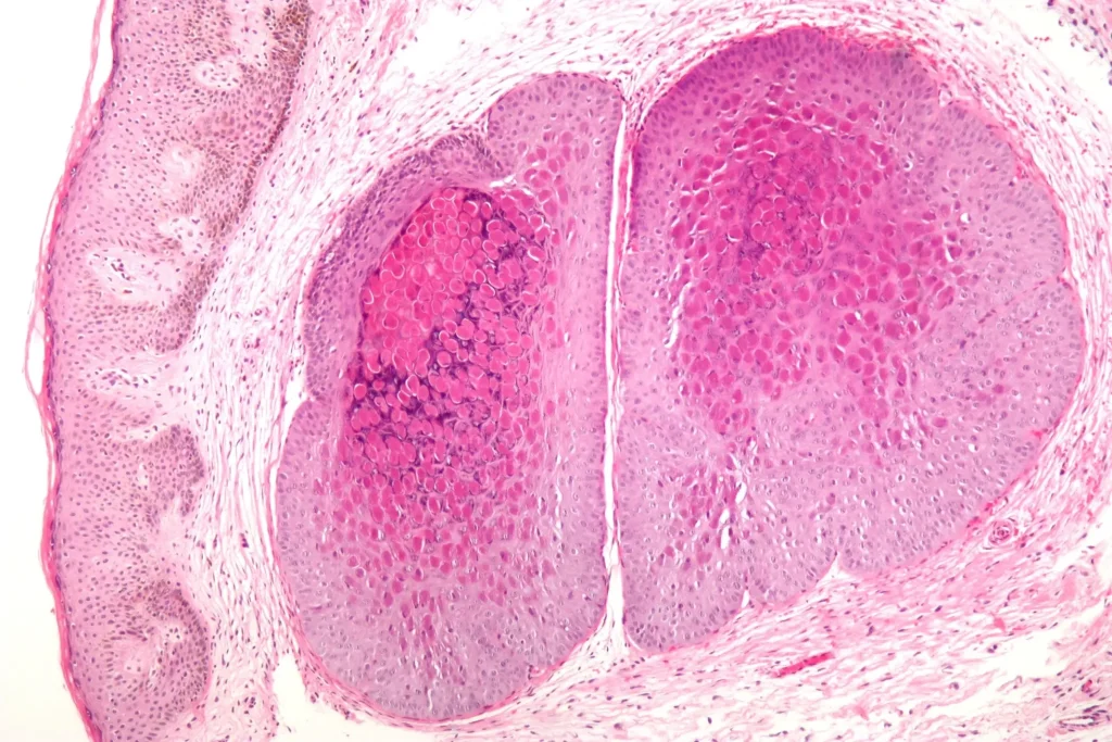
Le molluscum contagiosum est une infection virale de la peau caractérisée par le développement de petites bosses ou lésions élevées sur la peau. La condition est causée par le virus molluscum contagiosum (MCV), un membre de la famille des poxvirus. Cette infection hautement contagieuse affecte principalement les enfants, mais elle peut également survenir chez les adultes, en particulier ceux dont le système immunitaire est affaibli.
Causes : Le molluscum contagiosum est principalement transmis par un contact direct de peau à peau. Le virus peut également se propager par contact avec des objets contaminés tels que des serviettes, des jouets ou des vêtements. De plus, l’infection peut être transmise par contact sexuel chez les adultes, car elle est considérée comme une infection sexuellement transmissible (IST) dans certains cas. Une mauvaise hygiène et une fonction immunitaire compromise peuvent augmenter le risque de développer le molluscum contagiosum.
Symptômes : La caractéristique du molluscum contagiosum est l’apparition de petites bosses de couleur chair ou nacrées sur la peau. Ces lésions sont généralement indolores mais peuvent devenir prurigineuses ou irritées avec le temps. Les bosses ont souvent une indentation centrale ou une fossette, leur donnant une apparence caractéristique. Elles peuvent apparaître individuellement ou en grappes et peuvent être présentes n’importe où sur le corps, y compris le visage, le cou, les bras et la zone génitale.
Diagnostic : Le diagnostic du molluscum contagiosum est généralement basé sur l’aspect clinique des lésions. Un professionnel de la santé peut identifier les bosses caractéristiques lors d’un examen physique. Dans certains cas, une biopsie ou un prélèvement de la lésion peut être réalisé pour confirmer le diagnostic et exclure d’autres affections cutanées.
Options de traitement : Bien que le molluscum contagiosum soit généralement une condition auto-limitante qui se résout d’elle-même avec le temps, un traitement peut être recherché pour soulager les symptômes, prévenir la propagation et réduire le risque de complications. Plusieurs options de traitement sont disponibles, et le choix dépend de facteurs tels que l’âge du patient, sa santé générale, l’emplacement et le nombre de lésions.
Thérapies topiques :
- Rétinoïdes topiques : Des crèmes à base de rétinoïdes, telles que la trétinoïne, peuvent être appliquées sur les lésions pour favoriser leur résolution.
- Cantharidine : Une substance dérivée des scarabées blister, la cantharidine est appliquée localement pour provoquer des ampoules, ce qui aide à éliminer les lésions.
- Crème à l’imiquimod : Ce modificateur de la réponse immunitaire peut stimuler le système immunitaire du corps pour cibler et éliminer le virus.
Élimination physique :
- Cryothérapie : Les lésions sont congelées à l’aide d’azote liquide, provoquant des ampoules qui finissent par tomber.
- Curetage : Les bosses sont grattées à l’aide d’un instrument tranchant, assurant une élimination immédiate.
Médicaments oraux ou injectables :
- Cimétidine : Ce médicament oral, principalement utilisé pour réduire l’acidité gastrique, a été étudié comme option de traitement pour le molluscum contagiosum en raison de ses effets immunomodulateurs.
- Interféron : Dans les cas graves ou chez les personnes dont le système immunitaire est affaibli, l’interféron injectable peut être envisagé pour renforcer la réponse immunitaire.
Autosoins et prévention :
- Éviter de se gratter : Se gratter les lésions peut contribuer à la propagation du virus. Il est essentiel de décourager le grattage pour éviter toute infection supplémentaire.
- Bonne hygiène : Le lavage régulier des mains et le maintien d’une bonne hygiène personnelle peuvent réduire le risque de transmission.
Pronostic : Dans la plupart des cas, le molluscum contagiosum est une condition bénigne et auto-limitante. Les lésions se résolvent généralement dans les six mois à quelques années, mais la durée peut varier d’une personne à l’autre. Le virus ne laisse généralement pas de cicatrices durables, bien que des changements de pigmentation temporaires puissent survenir après la résolution des lésions.